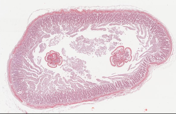
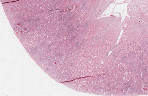
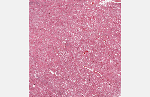
PATOLOJİ SONUÇ GÖRÜNTÜLERİ
Bilgi
Okunma Sayısı: 202
Eklenme Tarihi: 13.04.2026
Güncelleme Tarihi: 22.04.2026 14:25:12


